Важность точной диагностики
Чтобы точно диагностировать токсоплазмоз у домашней кошки, проводится ряд специфических исследований, среди которых:
-
анализ слизи и лейкоцитов на наличие циркулирующих паразитов;
-
анализ кала на наличие ооцист микроорганизма;
-
цитологический анализ;
-
полимерная цепная реакция;
-
анализ крови на количество иммуноглобулинов (при токсоплазмозе их количество изменяется).
Рекомендуется проводить анализ не только при наличии симптомов, но и при планировании беременности, т.е. если женщина контактирует с животным, т.к. кошка может быть не только носителем, но и переносчиком токсоплазмоза. Только так можно точно обезопасить себя от возможного заражения и необратимых последствий.
Болеют ли котята, как их лечить?
![]()
Молодые животные также заражаются простейшими. Клинические проявления патологического процесса практически не отличаются от симптоматики токсоплазмоза у взрослых котов. Исключением считается форма болезни – у котят часто регистрируется острое течение заболевания, определяющееся по следующим признакам:
- судорожному синдрому и параличу;
- нарушениям координации движений;
- отказу от приема пищи, общему недомоганию, слабости апатичности;
- изменению стандартного цвета слизистых оболочек на желтоватый оттенок.
Лечить котят приходится теми же медикаментозными средствами, что и взрослых кошек. Различие заключается в дозировках.
Симптомы токсоплазмоза
Перед тем как проявляется токсоплазмоз у кошек при первом в жизни заражении, проходит несколько недель, в течение которых в фекалиях питомца уже содержатся цисты. В норме токсоплазмоз вызывает лишь временное ухудшение состояния – легкий ринит, незначительные слезные выделения из глаз, однократный понос или рвота. Обычно симптомы токсоплазмоза у кошек принимают за отравление или простуду. Через два-три дня признаки недомогания исчезают – болезнь переходит в скрытую, а затем и хроническую форму. Иммунитет здоровой кошки не дает токсоплазмам активно размножаться, запирая их в клетках – кошка перестает быть заразной и всю жизнь никак не реагирует на наличие в организме паразитов, если не заразилась повторно.
Если иммунитет питомца снижен, болезнь протекает в острой/подострой форме. Животные-носители, страдающие хронической формой токсоплазмоза, также могут заболеть в результате иммунного стресса
Так как передается токсоплазмоз от кошек к человеку именно в период острого/подострого течения болезни, необходимо соблюдать осторожность при общении с выздоравливающим питомцем
Как определить токсоплазмоз у кошки? К сожалению, симптоматически это невозможно, признаки заболевания неспецифичны и схожи с симптомами многих болезней:
высокая температура;
кашель, чихание, выделения из носа и глаз;
дрожание мышц, судороги;
отказ от пищи или плохой аппетит, возможны нарушения в работе ЖКТ (запоры, поносы, рвота).
Что такое токсоплазмоз
Так называют заражение организма внутриклеточными паразитами, именуемыми Токсоплазмой. По статистике, до 25% мясных изделий на прилавках содержат токсоплазму. Переносчиками могут быть животные, птицы, люди: 50% животных, 30% и более (в зависимости от региона — до 90%) людей являются переносчиками микробов. Но больше всего токсоплазмы любят селиться в кошках, и ниже мы расскажем, почему.
Периоды жизни токсоплазмы
Изначально паразит находится в спящем состоянии в окружающем нас мире: воде, земле, на улице, откуда попадает в наше жилище на обуви. Также кошка может съесть зараженную мышь, кусочек сырого мяса, или слизать микроба со своей шерсти.

Успешно проникнув в кошачий организм, микробы стремятся поскорее добраться до тонкого кишечника кошки. Далее происходит развитие микроба до цисты (так называют промежуточное состояние микроорганизмов) и последующее их размножение внутри клеток животного. Сами клетки в итоге умирают, а цисты выходят наружу вместе с калом кошки, и распространяются дальше, захватывая новые организмы.
Ещё спустя 14-30 дней выделение паразитов наружу прекращается, они перестают покидать организм кошки, концентрируясь на его захвате. Получается, что заразиться токсоплазмозом от кошки можно лишь в определенный промежуток времени: спустя 2-3 недели после ее заражения, и в течение 14-30 дней.
Захват организма кошки происходит по следующему плану: сначала проникновение в селезенку через кишечник, затем красный костный мозг, где размножаются, и через кровь попадают во все органы. Но процесс этот не такой уж гладкий для паразита: на борьбу с ним выходит имунная система. Токсоплазма способна полностью захватить только кошку с ослабленным иммунитетом: старой, больной или совсем юной. В ином случае защитные силы организма прекратят свободное перемещение паразита, заморозят или остановят его размножение. Токсоплазмы будут заключены в клетках как цисты в течение нескольких лет в ожидании своего часа, никак не напоминая о себе.
Токсоплазмоз у кошек
Главная особенность кошачьего токсоплазмоза в том, что кошки — единственная целевая аудитория паразита. В организме представителей усатого семейства микроб себя отлично чувствует и размножается, а попадая в окружающую среду через кал, разносится дальше. Все остальные виды — не более, чем переносчики.
Размножение паразита в организме кошки происходит в тонком отделе кишечника, откуда он легко попадает в кал и распространяется дальше — через почву и воздух, попадает в корма к сельскохозяйственным животным, а через их мясо — к новым кошкам.
Ветеринары однозначно заявляют, что токсоплазмоз у кошек нужно обязательно лечить. Этот процесс занимает от 7 дней до года. Если у вас животное с крепким иммунитетом, то лечение обойдется недорого и не займет много времени, а с кошками, видавшими жизнь, всё может оказаться сложнее.
Влияние токсоплазм на человека
В человеческом организме токсоплазмы оказываются запертыми внутри клеток, никак не влияя на самочувствие или здоровье, если не нарушен иммунитет. Но стоит заметить, что до конца влияние паразита на человека не изучено.
У людей с недостаточным иммунитетом при заражении паразитами могут проявляться те же симптомы, что и при простуде — расширенные лимфоузлы, температура, ослабленное состояние, ломота мышц.
Токсоплазмоз при беременности у женщин
Для организма матери паразит безвреден, но не для эмбриона человека. Врачи сходятся во мнении, что токсоплазма может быть смертельно опасной для плода, спровоцировать выкидыш или вызвать патологии у будущего ребенка.
Нужно ли избавляться от кошки беременной женщине? Зависит от того, были ли микробы ранее в организме матери. Это можно выяснить в поликлинике, сдав анализы.
Если женщина уже переболела токсоплазмозом, то микробы будут находиться в спящем (замороженном) состоянии, токсоплазма не попадет в кровь и не передастся эмбриону, ведь она заперта в цистах, не циркулирует по организму матери. В этом случае бояться нечего
Если токсоплазмоза не было в истории болезни, то будущей матери следует быть особо осторожной во время беременности. Нужно не только убедиться, что кошка здорова, но и хорошо прожаривать мясо, осторожно его разделывать, тщательно мыть овощи и фрукты, с землёй работать только в перчатках.

Подробную консультацию рекомендуем получить у специалиста.
Возбудитель токсоплазмоза
Возбудитель инфекции – паразит из монотипного рода Toxoplasma gondii. Он является представителем типа Apicomplexa, класса Sporozoa, семейства Eimeriidae. Впервые токсоплазма была обнаружена в конце прошлого века французскими учеными Ш. Николь и Л. Мансо во время исследования грызунов гунди.
Формы токсоплазмоза
Болезнетворный микроорганизм может существовать в 2-х формах:
- Вегетативной – паразит по форме напоминает полумесяц или апельсиновую дольку микроскопического размера – 4-7 X 2-4 мкм. Он двигается крайне медленно, скользит или вращается.
- В виде цисты – согласно исследованиям Романовского-Гимзе, цитоплазма приобретает голубоватый оттенок, а ядро – красновато-рубиновый.
Повышенная чувствительность патогена. Что касается резистентности, то в процессе изучения удалось выяснить о чувствительности токсоплазмы к:
- высушиванию;
- перегреву – паразит гибнет при повышении температуры до +55°C;
- электромагнитному излучению;
- веществам с дезинфицирующим действием: хлорамину, фенолу, 50% спиртовым растворам.
В течение длительного времени паразит способен обитать в организме людей, животных и эктопаразитов. Ооцисты («личинка») прекрасно хранятся во внешней среде – водной и почвенной, не один месяц. Чувствительность к токсоплазме имеется практически у всех млекопитающих, особенно она высока у пернатых и грызунов.
Цикл развития паразита
Жизнь паразита состоит из периодов, когда он бесполо размножается в организме промежуточного хозяина – дикого или домашнего животного, птицы, человека, и полного цикла – в этом случае токсоплазма развивается в организме основного хозяина – кошки. К кошачьим паразит попадает вместе с их основной пищей – грызунами, и проходит поэтапное развитие:
- В кишечных стенках животного происходит бесполое размножение токсоплазмы.
- Позже формируются незрелые половые особи – гемоциты.
- Разнополые гемоциты соединяются, образуют зиготу.
- Превращение в ооцисту, напоминающую оплодотворенную яйцеклетку.
- С калом ооцисты оказываются во внешней среде, где в течение продолжительного времени хранятся в почвах.
К чему приводит инфицирование. Заражение человека и животных ооцистами токсоплазмы происходит при их проглатывании. В организме из ооциста появляются спорозоиты, поглощаемые макрофагами. В них же паразиты размножаются и по сосудам кровеносной и лимфатической системы разносятся по органам. Они выделяют токсин белкового происхождения, который провоцирует образование некротических микроочагов. В дальнейшем эти повреждения в нервах и мышечных тканях кальцифицируются.
Лечение кошачего токсоплазмоза
К сожалению, современная медицина ещё не в состоянии полностью вылечить эту болезнь. Такие препараты пока не разработаны. С патологией может справиться организм кота с сильным иммунитетом. Нередко на фоне токсоплазмоза возникают и другие болезни. Честно говоря, лекарства редко помогают от глистов.
Ветеринарами разработана определённая схема лечения.
В неё входят:
- Иммуностимуляторы.
- Антибиотики.
- Противовоспалительные препараты.
Терапию начинают только после тщательной диагностики. Когда поставлен точный диагноз, врач назначает курс и дозировку, учитывая особенности питомца, её вес и стадию заболевания. Естественно, обязательно учитывается возраст животного. Можно выделить самые распространённые препараты, выписываемые специалистом.
Химкокцид:
- Препарат синтетического происхождения с обширным антипротозойным действием.
- В основном, применяют в начальной стадии острой формы.
- В органах не накапливается и быстро выводится.
- Доза: на 1 кг веса 24 мл лекарства.
Дараприм:
- Блокирует фолатредуктозу, которая фолиевую кислоту преобразует в фолиновую.
- Противопротозойное средство, оказывающее противомалярийное действие, а также антитоксоплазмоидное.
- Против данной болезни очень эффективен, но в комплексе с антибиотиками: Бисептол или Спирацимин.
Повышение иммунитета
Данная терапия считается обязательной, если у кошки ослаблены иммунные клетки. Лишь крепкий иммунитет может победить болезнь.
Лечение включает:
- Глюкозу и витамины В.
- Фолиевую кислоту.
Такая терапия может продолжаться до года.
Противовоспалительные и мочегонные средства
Для вывода лекарства и восстановления после заболевания проводится результативная терапия.
Если лечение проходит успешно:
- Облегчение наступает через сутки.
- Нельзя прекращать лечение.
- Нужно обязательно провести полный курс терапии.
- Антибиотики следует принимать не меньше 7 дней.
Также, необходимо принимать успокоительные средства, так как токсоплазмоз влияет на нервную систему кота. Если лечение не приносит положительного результата, нужно провести повторное обследование.
Следует помнить, что терапия только уменьшает симптомы. Вылечить полностью животное невозможно. Рекомендуется наблюдаться ежегодно, чтобы знать на какой стадии находится патология. Кстати, лечение должно проводиться квалифицированным ветеринаром. Главной задачей терапии является недопущение размножения паразитов. Специальных лекарств от токсоплазмоза, к сожалению, нет. Предотвратить заболевание можно только вакцинацией, которая повышает и укрепляет иммунитет.
Владельцам нужно знать, что народных методов избавления от этой болезни не существует. Не следует верить рецептам из интернета, они могут нанести вред питомцу.
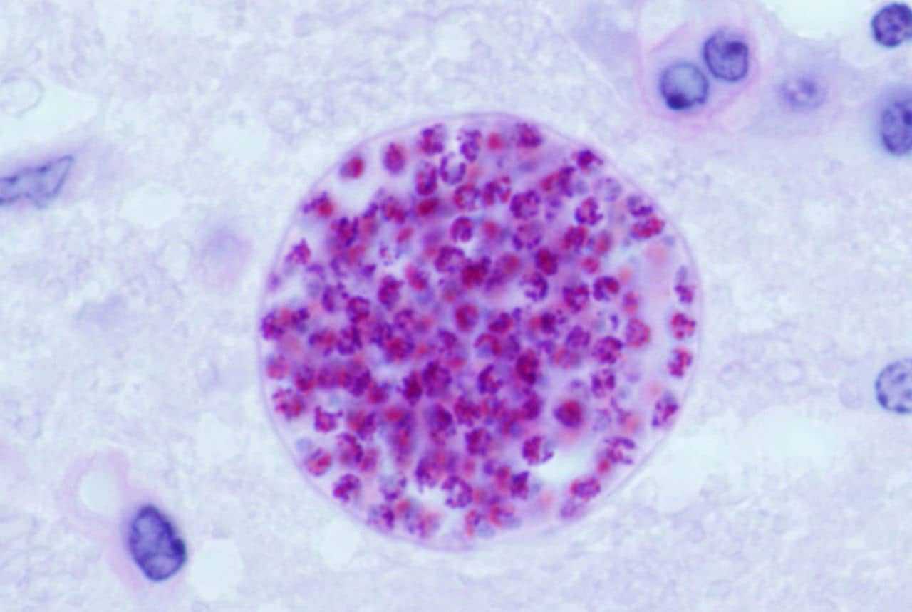
Диагностика токсоплазмоза у кошек
Диагностика заболевания основана на исследовании кала и крови. Кал может быть исследован как микроскопически (под микроскопом обнаруживаются ооцисты токсоплазм), так и методом ПЦР-диагностики. Микроскопия не вполне достоверный метод, поэтому в последнее время почти не применяется.
ПЦР исследование на токсоплазмоз проводится для выявления острого процесса у животного. Берется мазок из прямой кишки или порция кала, если результат положительный, то животное на момент исследования активно выделяло возбудитель болезни в окружающую среду, а значит – потенциально опасно для окружающих животных и людей. Если в кале методом ПЦР токсоплазмоз не выявлен, то это не значит, что он отсутствует. Это служит подтверждением, что животное на момент исследования не выделяло возбудитель в окружающую среду.
Анализ крови смотрят на предмет наличия антител к заболеванию. Расшифровка анализа на токсоплазмоз у кошек проводится по следующей схеме. У подозреваемого в заболевании животного берут пробы крови, исследуют его методом ИФА (иммуноферментного анализа), если результат анализа показывает наличие антител к токсоплазмозу, значит животное встречалось с данной инфекцией и, как минимум, является носителем. Через 2 недели повторно проводится исследование крови и, если наблюдается выраженный рост титра антител, то животное считается больным и ему назначается курс антибиотиков. Таким животным назначается комплексное лечение. Если повторный результат анализа на токсоплазмоз после лечения показал снижение титра антител, значит терапия была проведена успешно. Если же титр антител остался на прежнем уровне или незначительно вырос, то можно говорить о хроническом течении инфекции у кошки.
Итого:
·
Если ПЦР кала и ИФА крови на токсоплазмоз отрицательные, животное не больно и с инфекцией не встречалось.
· Если ПЦР кала положительное, а ИФА отрицательное, то можно говорить о наличии активной фазы заболевания у кошки, животное активно выделяет ооцисты и контаминирует (загрязняет) окружающую среду возбудителем токсоплазмоза, при этом хронической формы заболевания у животного пока нет.
· При положительном ПЦР кала и ИФА крови животное считается больным токсоплазмозом и ему назначается лечение. Через 2 недели повторное исследование сыворотки методом ИФА и коррекция лечения.
· Если ПЦР отрицательно, а ИФА положительно мы говорим о хроническом течении инфекции, но через 2 недели повторно исследуем кровь, если титр растет, то животному также назначается лечение.
Что такое токсоплазмоз?
Токсоплазмоз – заболевание, вызванное паразитарными монотипными организмами. Чаще всего инфекция проникает в организм оральным путем, длится долго, бессимптомно. В результате болезни могут быть поражены нервная, зрительная, мышечная системы. Возникают патологии сосудов, миокарда, печени и селезенки.
![]()
Toxoplasma gondii проникает в организм вместе с сырым мясом. После этого микроорганизму нужно размножаться, иначе здоровый иммунитет убьет его до того, как он успеет попасть внутрь клеток. Кошачий кишечник – благоприятная среда для размножения токсоплазмы, поэтому представители семейства кошачьих – самые частые переносчики инфекции, хотя носителем может стать и птица, мышь, крыса.
При близком контакте с питомцем человек может заразиться токсоплазмозом, но хороший иммунитет быстро справится с возбудителем. В группу риска попадают:
- ВИЧ-инфицированные;
- люди со сниженным иммунитетом;
- те, кто страдает хроническими заболеваниями;
- проходившие лечение химиотерапией.
![]()
Наиболее опасно заболевание для женщины во время беременности, так как микроорганизмы проникают через плаценту и оказывают воздействие на формирующиеся системы эмбриона. Поражение нервной и сердечно-сосудистой системы может привести к гибели плода, в остальных случаях фиксируются серьезные отклонения в развитии.
Симптомы токсоплазмоза
На начальной стадии токсоплазмоз протекает у кошки без ярко выраженных симптомов. Лишь через 2 недели после заражения, когда животное уже активно выделяет цисты, хозяева могут заметить снижение аппетита, вялость и сонливость, незначительные выделения слизи из носа и глаз. Однократно может возникнуть понос или рвота, но обычно такие признаки у кошек не связывают с возможным развитием токсоплазмоза, а списывают на простуду или отравление. Если животное обладает сильным иммунитетом, проявления болезни могут ограничиться вышеописанными симптомами. Затем защитные силы организма перебарывают возбудителя, как бы запирая в клетках организма. Животное перестает вырабатывать цисты и остается здоровым, но все же носителем. Повторный всплеск болезни возможен, если у питомца ослабнет иммунитет или возникнет новый контакт с возбудителем в природе.
Симптоматика болезни проявляется ярче у ослабленных животных. Тогда хозяева замечают, что у кота появляются судороги, дрожание в конечностях, даже при неактивной ходьбе наблюдается одышка. Признаки простуды, такие как кашель, чихание, насморк, становятся ярко выраженными, выделения могут носить гнойный характер. Кота лихорадит, у него поднимается невысокая температура, увеличиваются лимфоузлы. В особо тяжелых случаях может развиться паралич. У беременных кошек погибают все зародыши, либо рожденные котята оказываются очень слабыми и нежизнеспособными.
Вышеописанные ярко выраженные признаки характерны для острого течения болезни. Впоследствии недуг переходит в хроническую форму и никак себя не проявляет вплоть до снижения иммунитета либо повторного инфицирования.
https://youtube.com/watch?v=HTOI7jF6ab0
Лечение в домашних условиях
Подтвержденный диагноз – токсоплазмоз у кошки, означает, что животное необходимо лечить. Основная цель – переведение заболевания в хроническую форму. Если в доме есть дети, беременные женщины или другие млекопитающие, их необходимо изолировать от контакта с больным животным.
В домашних условиях лечить токсоплазмоз можно, но только четко следуя инструкциям ветеринарного врача. Специалисты в качестве вспомогательных средств, назначают витаминно-минеральные комплексы и иммуномодуляторы, позволяющие укрепить защитные силы организма для борьбы с инфекцией
Очень важно обеспечить животному правильный уход:
- не давать кошке сырые продукты, не прошедшие термическую обработку;
- регулярно проветривать помещение и проводить влажную уборку с дезинфицирующими растворами;
- очищать кошачий туалет каждый день, а также 2-3 раза в месяц обрабатывать емкость, служащую для кошки туалетом, специальным раствором аммиака.
Симптомы острой инвазии:
- Нос и глаза кота начинают гноиться.
- Наблюдаются диспепсические нарушения.
- Температура тела поднимается до высокой отметки.
- Непроизвольные сокращения мышц.
- В кале можно заметить глистов.
- Дыхание становится неровным и прерывистым.
- Появляется непроизвольный звучный выдох.
- Кот становится вялым и постоянно спит.
Если лечение игнорировать, заболевание примет хроническую форму. Если у питомца сильный иммунитет, размножение токсоплазм не происходит и кот не заразен для окружающих.
При острой инфекции
Болезнь протекает в подострой или острой форме. В первом случае симптомы токсоплазмоза у кошек схожи с банальной простудой:
- отказ от еды;
- расстройство стула;
- слезящиеся глаза;
- незначительная гипертермия;
- апатия.
Если паразит проник в дыхательные пути, присоединяется одышка, чихание, похрапывание или кашель.
Отсутствие яркой симптоматики делает невозможным самостоятельное диагностирование токсоплазмоза.
Острая инфекция наблюдается только у нездоровых животных. Для этой формы характерна выраженная клиническая картина. При попадании микроорганизма в ЦНС появляются судороги или паралич. Происходит отмирание тканей мозга (головного или спинного – в зависимости от очага инфекции).
При таком течении болезни восстановление нормальной передачи нейронных импульсов даже после выздоровления невозможно. Однако тяжелая форма болезни встречается только у 5-6% инфицированных кошек.
При хроническом протекании
Признаки хронизации токсоплазмоза отсутствуют. Если паразит не активен, а вокруг цист появились оболочки, болезнь протекает бессимптомно. Такая форма характерна для повторного инфицирования. Это обусловлено синтезом антител в организме животного, ранее перенесшего заболевание.
Жизненный цикл Toxoplasma gondii.
Жизненный цикл Toxoplasma gondiis довольно сложен и включает в себя два типа хозяев: окончательного (кошки, в том числе дикие виды), и промежуточного (другие животные).
Окончательный хозяин Toxoplasma gondii.
Окончательными хозяевами становятся кошки (домашние и дикие). Это значит, что они представляют собой животных, в организме которых происходит размножение Toxoplasma gondii — производство ооцитов (яиц) паразита, которые затем попадают в окружающую среду с фекалиями.
Большинство кошек заражаются токсоплазмами через съеденное мясо, содержащее кисты Toxoplasma gondii. Это может быть сырое или недостаточно термически обработанное мясо (например, говядина, баранина, свинина) или, что происходит чаще, добытое на охоте (например, мясо грызунов, таких как мыши). Через несколько дней после заражения с фекалиями кошки начинают выделяться миллионы ооцитов токсоплазмы. Ооциты выделяются на протяжении короткого периода, обычно до двух недель, затем иммунная система кошки останавливает их производство. Для кошек нехарактерно повторное появление ооцитов токсоплазмы в фекалиях, а если это всё-таки случается, то ооцитов гораздо меньше, чем после первого инфицирования. Даже лекарственная терапия, подавляющая иммунную систему, редко приводит к возобновлению производства ооцитов.
Сразу после того, как Toxoplasma gondii попадает в кишечник кошки, инфекция распространяется по всему телу с помощью особой быстроделящейся формы микроорганизма — тахизоитов. Эффективный ответ иммунной системы кошки останавливает деление и паразиты трансформируются в брадизоиты, принимая форму, невидимую для иммунной системы. Они сохраняются, не проявляя себя, в тканях тела в виде кист (как правило, располагаясь в мышцах). Если, по каким-то причинам организм кошки становится неспособным давать полноценный иммунный ответ, репликация тахизоитов возобновляется. Это может приводить к тяжёлым воспалениям и появлению признаков токсоплазмоза.
Промежуточный хозяин Toxoplasma gondii.
Прочие теплокровные млекопитающие, включая человека, могут исполнять роль промежуточных хозяев Toxoplasma gondii. Инфицировав промежуточного хозяина, токсоплазма никогда не производит ооциты. Заражение может происходить следующими способами:
Через ооциты, находящиеся в кошачьих фекалиях. Заражение происходит не сразу, сначала должен пройти процесс под названием споруляция (образование спор), который занимает от одного до пяти дней. Ооциты очень живучи и сохраняют жизнеспособность в почве или воде в течение 18 месяцев и даже более.
Через ооциты, находящиеся в кистах тканей других животных. Как и другие животные, человек, употребляя недостаточно термически обработанное мясо в пищу, также может заразиться токсоплазмами.
После инфицирования промежуточного хозяина, паразит какое-то время распространяется по телу в виде тахизоитов (как и в случае с кошкой). Затем, после формирования иммунного ответа, формирует в тканях тела кисты (с брадизоитами). В редких случаях, когда инфекция попадает в организм с ослабленным иммунитетом и иммунный ответ не может быть эффективным, репликация тахизоитов продолжается, вызывая тяжёлые воспаления и появление симптомов заболевания.
Toxoplasma gondii и беременность человека.
Существует риск, что инфицирование женщины Toxoplasma gondii во время беременности приведёт к распространению инфекции на вынашиваемый плод. При этом полностью отсутствует риск заражения плода от токсоплазмы, инфицирование которой произошло до начала беременности.
У, примерно 20-50% женщин, зараженных во время беременности, токсоплазма распространяется на будущего ребёнка. Во многих случаях, даже при заражении плода, не наблюдается никаких признаков болезни. Однако, в редких случаях (причём, только если инициирование произошло в начале беременности) инфекция может привести к аборту, появлению врожденных пороков развития, неврологическим и глазным проблемам.
Признаки токсоплазмоза
Когда возникает у кошки токсоплазмоз, симптомы наблюдаются очень размытые. Заболевание сразу после заражения животного может протекать совершенно без всяких тревожных сигналов, однако при этом кошка активно выделяет инфекцию в окружающую среду. Этот период не дает возможности внешне заметить, что любимица больна. Она ведет себя совершенно как обычно. По прошествии нескольких недель могут возникнуть совершенно незначительные признаки болезни.
На самом первом этапе у любимицы могут увеличиться лимфоузлы. Это происходит в тот период, в котором токсоплазмы активно размножаются в кошачьем организме.
У любимицы могут покраснеть глазки, появиться малозаметные выделения из носа, ненадолго может развиться диарея, немного ухудшится аппетит, кошка слегка похудеет. Однако все эти признаки довольно быстро проходят, не давая хозяину кошечки повода для особенного беспокойства. Следует понимать, что исчезновение всех этих признаков недуга может означать, что болезнь перешла в хроническую форму.
Более активное проявление признаком заболевания начнется тогда, когда токсоплазмы начнут бесконечную циркуляцию внутри кошки. Этот период называют подострым и отмечают, что он характеризуется следующими признаками:
- значительно повышается температура у кошечки;
- дыхание может стать частым, кошка чихает, кашляет;
- глаза краснеют, из них появляются выделения гнойного характера.
Переход болезни в острую стадию делает вышеуказанные симптомы гораздо ярче. Но на этом процесс не останавливается, состояние любимицы ухудшается, она начинает дышать довольно тяжело, возможно появление отдышки.
Соответственно, кошка стремительно худеет, слабнет, становится вялой и апатичной. У нее может внезапно появиться желтуха, возникнуть сильная рвота, жидкий стул. Мышцы пушистой красавицы мелко дрожат, могут быть судороги, раскоординация движений, судорога и даже паралич.
Как можно заметить, признаки токсоплазмоза вполне схожи с другими кошачьими заболеваниями, то есть они совершенно не специфичны. Однако болезнь сама по себе является слишком опасной для кошечки. Если владелец заметил один или несколько подобных признаков, необходимо срочно обращаться к ветеринарному врачу для постановки точного диагноза.
Для всех ли беременных опасны кошки с токсоплазмой?
Токсоплазмоз особенно опасен для женщин в первом триместре беременности. В этот период формируются органы ребенка, поэтому их поражение приводит к выкидышу, замиранию беременности или развитию патологий, не совместимых с жизнью. При заражении на сроке до 24 недели рекомендуют прервать беременность, хотя именно в этот период вероятность заражения плода минимальная – всего 20%. К 7 месяцу этот показатель увеличивается в три раза. Последствиями инфицирования на поздних сроках становится нарушение зрительной функции, психические расстройства, эпилепсия.
![]()
При обследовании беременной важно узнать, проникла ли инфекция через плазму, возможно, заражение женщины произошло, но ребенок не пострадал. Для диагностики заболевания проводится анализ крови методом ИФА, он показывает наличие в крови антител
Если к моменту наступления беременности женщина уже была заражена и ее организм выработал иммунитет, плоду ничего не угрожает (в частности, если у будущей мамы давно живет кот или она с детства играла с уличными животными, она практически со 100-процентной вероятностью переболела токсоплазмозом). Наличие антител в крови также не опасно для последующих детей.





























