Что такое холецистит: классификация
Желчь – густая, желто-зеленоватая субстанция, расщепляющая
жиры, помогает их всасывать и способствует переработке и выведению холестерина.
В норме, по желчным протокам, она попадает в двенадцатиперстную кишку и
участвует в пищеварении.
Холецистит подразделяется на:
Обструктивный.
При нем в патологический процесс вовлекаются поджелудочная
железа, кишечник, печень. Органы с признаками воспалительного процесса и
увеличения начинают сдавливать протоки, провоцируя застой желчи, ее скопление,
раздражение стенок желчного пузыря и воспаление. Обструктивный холецистит почти
всегда сопровождается водянкой желчного пузыря и образованием конкрементов
(камней).
Необструктивный.
Этиологический фактор – инфекция, симптомы такого типа холецистита у собак появляются при наличии парвовирусной инфекции, глистной инвазии, чуме, инфекционном гепатите. Вкупе воспаляется кишечник, патогенные микроорганизмы проникают в желчный пузырь и его протоки.
При миграции паразитов происходит повреждение внутренней
стенки органа, воспаление из-за действия токсинов.
Острый.
Является следствием сильнейшей интоксикации организма
собаки, закупорки протоков. Есть риск разрыва стенок желчного пузыря и
перитонита, поэтому помощь питомцу должна быть незамедлительной.
Хронический.
Симптоматика смазана, собака выглядит вялой, апатичной,
периодически возникают проблемы с ЖКТ. Есть проблемы с весом при достаточном
кормлении. Подобное состояние требует полного обследования питомца в
ветеринарной клинике и дальнейшего лечения.
Признаки и симптомы холецистита у собак
Первым симптомом заболевания собаки всегда является изменение поведения. Вялость, сонливость, животное перестает играть, интересоваться происходящим, все это уже должно насторожить владельца. У питомца тускнеет шерсть, может наблюдаться ее обильное выпадение как при линьке. При поглаживании на шерсти остаются следы от пальцев, она теряет упругость и эластичность. Это общие симптомы для любого недомогания животного, но есть еще и особые признаки холецистита усобак.
Отказ от корма, рвота желчью, высокая температура и стремительная потеря веса, это основные симптомы именно данного заболевания. Собака лежит, выгнув спину преимущественно на животе, поджав под себя лапы. В дальнейшем появляется желтушность склеры и живота, на последних стадиях кал становится обесцвеченным. При внешнем осмотре нажатие пальцами в область расположения печени вызывает у животного беспокойство или сильную боль.
Течение болезни может быть либо острым, либо хроническим. В последнем случае симптомы могут быть неспецифическими. Анемия, бледные десны и склеры, понижение температуры тела. При остром течении заболевание развивается очень быстро, и без срочного медикаментозного вмешательства может завершиться разрывом желчного пузыря, перитонитом и, как следствие, летальным исходом.
Хроническая форма холецистита может протекать незаметно долгое время. Часто заболевание обнаруживают случайно, при плановом осмотре у врача. Иногда в хронический тип холецистита может перейти острая его форма, если питомца не долечили.
Можно ли лечить холецистит у собак на дому
В настоящее время ветеринария развивается стремительными темпами и то что раньше казалось фантастикой – теперь вполне осуществимо. Холецистит на дому лечится следующим образом:
- Животное навещает ветеринарный врач;
- Осуществляется пальпация, визуальный осмотр;
- Берутся необходимые анализы;
- Через короткое время выносится вердикт и назначается необходимое лечение.
Как видите все предельно просто, достаточно оставить заявку на сайте или позвонить самостоятельно для того что бы получить скорую ветеринарную помощь дома!

Если вы нашли ошибку, пожалуйста, выделите фрагмент текста и нажмите Ctrl+Enter.
- yarus-spb.ru
- fb.ru
- ya-vet.com
Методы диагностики
После появления первых признаков заболевания следует обращаться за помощью к гастроэнтерологу. Предварительный диагноз ставится лечащим врачом на основании жалоб пациента с учетом характера описываемых болей, частоты их проявления и других симптомов.
Достоверно подтвердить диагноз и определить методы лечения можно после полной диагностики:
- Исследование анализа крови в лаборатории. При холецистите, в особенности в острый период, показатели уровня СОЭ будут повышены, а также выявлен нейтрофильный лейкоцитоз.
- УЗИ. Обследование позволяет визуально оценить изменения органа. Врач устанавливает форму органа, толщину стенок и его размеры, оценивает сократительную функцию и количество плотных образований при их наличии. На запущенных стадиях при холециститах можно заметить деформацию органа и утолщение стенок.
- Зондирование, в ходе которого выполняется забор трех порций желчи. С помощью дальнейшего микроскопического обследования проводят оценку консистенции желчи и ее цвета. На этой стадии также определяют возбудителя, который является причиной инфекционного процесса. От этого будет зависеть, как лечить холецистит и какие препараты будут эффективнее.
- Рентгеноконтрастный метод — позволяет оценить степень нарушений двигательной функции органа.
В сомнительных случаях пациенту могут быть назначены дополнительные диагностические обследования.
Диета и коррекция питания
Лечебное питание — важный элемент нормализации функций желчного пузыря. Оптимальный вид диеты предлагает ветеринар, наблюдающий питомца. Многие врачи рекомендуют давать четвероногому питомцу натуральную пищу вместо сухого корма, пока собака не выздоровеет либо нужно срочно отменить дешевое гранулированное питание, перейти на элитные наименования из лечебной серии для собак с чувствительным пищеварением. полезна тыква и морковь в отварном виде (пюре).
Симптомы и лечение холецистита — информация, которую должны изучить владельцы четвероногих питомцев. Поражение желчного пузыря развивается у собак мелких пород и более крупных питомцев. Для снижения риска острого и хронического холецистита нужно давать питомцу качественный корм, вовремя проводить дегельментизацию, бороться с инфекциями
Важно помнить о мерах профилактики и регулярных визитах к ветеринару для контроля здоровья животного
Холецистит у собак — заболевание, характеризующееся возникновением воспалительного процесса в желчном пузыре. Из следующего ролика можно узнать больше полезной информации о причинах и симптомах болезни, а также о том, как проводится лечение:
Причины заболевания
К причинам, приводящим к развитию воспаления в желчных протоках у четвероногих друзей, относят:
Погрешности в питании. Нередко причиной холецистита становится постоянное кормление собаки сухими кормами сомнительного качества. Усугубляет проблему нарушение при таком типе питания водного режима. Приводить к воспалительным процессам может также несбалансированное натуральное кормление питомца, особенно если в рацион включают продукты со стола.
Угощение колбасой, сладкими и мучными изделиями – верный путь к развитию проблем с пищеварением, в том числе и холециститу. Причиной недуга может стать и несоблюдение режима кормления, длительные голодания или, наоборот, перекармливание. Способствовать развитию болезни, по мнению ветеринарных врачей, может рацион с низким содержанием каротина и витамина А, способствующих процессам регенерации в организме.
- Паразитарные инвазии. Ветеринарные врачи считают, что такие глистные заболевания, как описторхоз, эхинококкоз, изоспороз, альвеококкоз являются главными причинами развития холецистита у собак. Паразитирующие в органах и тканях гельминты выделяют в окружающие ткани сильные токсины. Яды раздражают слизистую оболочку желчных протоков, окружающих тканях, что приводит к развитию воспаления.
- Кишечные инфекции. По печеночной артерии или по желчевыводящим путям патогенные микроорганизмы при кишечных инфекционных заболеваниях проникают в желчный пузырь, обуславливая развитие воспалительного процесса. Инфекционный энтерит как причина холецистита наблюдается чаще всего у пожилых собак.
- Заболевания пищеварительной системы. Жировая дистрофия печени, панкреатит, колиты различной этиологии, язвенное состояние двенадцатиперстной кишки нередко становятся запускающим холецистит механизмом. Особенно часто к воспалению слизистой оболочки желчного пузыря приводит желчнокаменная болезнь.
- В ветеринарной практике регистрировались случаи, когда причиной холецистита являлись инфекционные заболевания, например сальмонеллез.
- Недуг воспалительного характера может развиться в результате травмы брюшной полости.
- Ожирение, гиподинамия. Избыточный вес, отсутствие физических нагрузок у питомца приводят к снижению сократительной способности мышечного слоя желчного мешка (дискензии), что является провоцирующим воспаление фактором.
- Врожденные аномалии желчных протоков и самого пузыря (сужения, завороты, дивертикулы и т.д.).
К провоцирующим факторам врачи-терапевты относят также стрессы и длительные психоэмоциональные переживания четвероногих друзей. Крупные породы собак больше подвержены наследственным факторам. Чаще болеют холециститом терьеры, мастиффы.
Клиническая картина заболевания
Так как первопричины патологии сильно варьируются, то и симптомы холестаза у собаки особым единообразием не отличаются. Но все же в общих чертах клиническая картина довольно-таки схожа:
, то есть пожелтение глаз, кожи и слизистых оболочек. Когда больная собака зевает, создается впечатление, что у нее в глотке – зрелый апельсин, настолько все пожелтевшее.
Летаргическое или даже состояние. Ярко указывает на тяжелую холемию. Если дело дошло до таких симптомов, шансы на выздоровление очень малы.
Чрезмерный аппетит,
который обусловлен плохим усвоением питательных веществ. Когда болезнь развивается, животное есть практически перестает.
Ухудшается свертывание крови
, даже маленькие царапины начинают непомерно кровоточить.
Потеря веса
, которая также развивается постепенно.
Кал становится бледным и даже белым
. Дело в том, что цвет нормальных испражнений обусловлен стеркобилином – производным билирубина (он, в свою очередь, является желчной кислотой). Нет желчи в просвете кишок – нет стеркобилина.
Апельсиновая моча
. Напротив, когда в крови появляется много желчи, она массово выводится через почки. Для последних это – тяжелейший удар, со временем развивается .
Лечение холецистита
Для пациентов с умеренными клиническими признаками, без признаков разрыва желчного пузыря возможно консервативное лечение: инфузионная терапия (внутривенное введение жидкости и электролитов), специальное питание, контроль боли и антибиотикотерапия. Выбор антибиотика в идеале осуществляется на основе анализа бактериальной культуры желчи, полученной с помощью холицистоцентеза. Антибиотикотерапия должна продолжаться в течение 4 недель после исчезновения клинических симптомов. Также могут быть использованы холеретики и антиоксиданты. Диагностическая лапаротомия с холецистэктомией показана собакам, если их клинические, гематологические, биохимические анализы или данные обследования указывают на разрыв желчного пузыря или перитонит. Прогноз хороший (75%-я выживаемость) для собак с холециститом, лечившимся хирургически. У собак с перитонитом процент смертности более высокий.
Обнаружение газа в полости или тканях желчного пузыря или системы желчных протоков называется эмфизематозный холецистит. Собаки с сахарным диабетом имеют повышенный риск развития. При подозрении на эмфизематозный холецистит собакам показаны быстрая стабилизация пациента, антимикробная терапия и холецистэктомия.
(с) Ветеринарный центр лечения и реабилитации животных «Зоостатус».
Варшавское шоссе, 125 стр.1. тел.
8 (499)
Воспаление желчного пузыря в сочетании с поражением протоков нередко развивается у собак на фоне неправильного питания. При отсутствии грамотной терапии заболевание принимает хроническую форму, ухудшается процесс пищеварения и общее состояние питомца.
Как своевременно распознать холецистит у собак? Симптомы и лечение патологии, возможные осложнения, эффективные меры профилактики и другие важные нюансы раскрыты в статье.
Холецистит и его симптомы
Холецистит зачастую может проходить без каких-либо признаков, но существуют симптомы, которые должны заставить любящего хозяина насторожиться:

- Резкий спад аппетита;
- Частые несварение желудка, рвотные позывы;
- Желтизна слизистых оболочек;
- Питомец может выглядит вялым, апатичным, неприятные ощущения у собаки при попытке ветеринара надавить на печень;
- Показатели градусника вырастают за небольшой промежуток времени;
- Нередко может появляться желтуха.
Конечно данные признаки могут свидетельствовать и о других болезнях, а потому нужно обязательно обратиться к ветеринарному врачу, который сможет поставить точный диагноз после взятия биоматериалов на анализ. В частности, доктор может предложить сдать анализ крови и мочи для получения более конкретной информации. Не следует заниматься самолечением, заподозрив у любимца холецистит. Данное заболевание диагностируется и лечится исключительно с помощью ветеринарного врача.
Правила лечебной диеты
После голодания питомца переводят на дробное питание. Его кормят не менее 4 раз в день маленькими порциями, чтобы не перегружать желудок. Всю еду подают в перетертом и жидком виде.
В рацион больного должны входить следующие продукты:
-
овощи (морковка, тыква, брокколи), обогащенные каротином и витамином А;
-
постное мясо (телятина, индейка, кролик);
-
каша из риса, способствующая очищению почек и печени;
-
гречневая крупа, улучшающая перистальтику кишечника;
-
кисломолочные продукты с низкой жирностью;
-
яйца.
Сухие корма для собак при холецистите следует приобретать из специальной ветеринарной линейки с пометкой i/d или l/d. Такие продукты облегчают пищеварение, снижают нагрузку на печень и сокращают количество вредных веществ, образуемых в процессе метаболизма.
Острый окклюзионный холецистит
Застрявший на выходе из желчного пузыря камень вызывает его окклюзию (нарушение проходимости). Из-за этого желчный пузырь начинает увеличиваться в объеме, постепенно превращаясь в гнойник.
Далее события могут развиваться по нескольким сценариям:
Вариант № 1. Смещение камня за счет приема спазмолитиков
Спазмолитические препараты снижают тонус стенки желчного пузыря, в результате чего камень может сместиться. Давление внутри просвета желчного пузыря уменьшается, и приступ острого холецистита стихает.
Но опыт показывает, что однажды случившийся приступ почти всегда повторяется. Это связано с тем, что желчные камни в момент воспаления повреждают слизистую. Из нее выделяются “медиаторы воспаления” — вещества, которые способствуют превращению лецитина в лизолейцитин. Именно это вещество содержится внутри желчного пузыря, и признано ответственным за рецидив заболевания.
Растворять камни в желчном пузыре с помощью специальных препаратов категорически не рекомендуется. Крупные камни разбиваются на мелкие кусочки и начинают мигрировать по желчным протокам, что крайне опасно. Даже если убрать все камни из желчного пузыря, то условия для их формирования никуда не исчезнут: камни образуются вновь.

Вариант № 2. Камень, застрявший на выходе из желчного пузыря, остается на своем месте, несмотря на лечение
В этом случае желчный пузырь начинает увеличиваться в размерах, сдавливает сам себя изнутри, стенка его отекает, утолщается, в ней возникает нарушение питания. При ультразвуковом исследовании это хорошо видно: если в норме толщина стенки желчного пузыря 1–3 мм, то в случае воспаления она может увеличиваться до 5–8 мм и более, расслаиваться, становиться более плотной.
В просвет желчного пузыря в ответ на воспаление выходят лейкоциты, и содержащаяся внутри него желчь быстро превращается в гной. Переполненный гноем желчный пузырь может лопнуть с развитием гнойного перитонита (воспаления уже всей брюшной полости). Без своевременного лечения возможен летальный исход.
Вариант № 3. Возникновение холедохолитиаза
Если в желчном пузыре находятся мелкие камни, то при его сокращении они начинают перемещаться внутри просвета. Затем, миновав выход из желчного пузыря, попадают в общий желчный проток. Эти камни создают препятствие для свободного тока желчи в двенадцатиперстную кишку, что приводит к повышению давления внутри всей желчной системы. Расширяются протоки, а избыток желчных пигментов (билирубина) на клеточном уровне приводит к тому, что он устремляется в кровь. Возникает так называемая механическая желтуха.
Все вместе быстро приводит к нарушению функционирования печени. За счет разрушения клеточной стенки в крови появляются ферменты, которые в норме находятся внутри клеток печени.
Из-за нарушения непрерывного оттока желчи в двенадцатиперстную кишку происходит попадание микроорганизмов в желчные протоки и превращению желчи в гной. Возникает воспаление желчных протоков — гнойный холангит.
Если вовремя не предпринять необходимых мер, в печени образуются гнойники, связанные с желчными протоками. Это опасная, угрожающая жизни ситуация: чтобы спасти пациента, счет времени идет на часы.
Вариант № 4. Опасность крупных камней
Достигнув определенного критического размера, камни за счет своей тяжести, начинают сдавливать стенку желчного пузыря и вызывать нарушение кровоснабжения. Образуется пролежень – отверстие в желчном пузыре. Если рядом находится общий желчный проток, образуется дополнительное сообщение между ним и желчным пузырем, так называемый синдром Мириззи. Это крайне опасная ситуация, при которой могут возникать приступы гнойного холангита.
Для предотвращения развития событий по всем описанным вариантам и проводят профилактическую холецистэктомию у пациентов с желчекаменной болезнью — удаление желчного пузыря вне периода обострения.

Классификация
Холецистит у собак подразделяют на несколько видов в зависимости от причин возникновения и интенсивности воспаления.
Обструктивный
В организме собаки возникают патологические процессы, при которых увеличивается поджелудочная железа, печень, кишечник. Воспаленные органы сдавливают протоки, вызывая скопление желчи.
При обструктивном холецистите может развиваться водянка пузыря, секрет густеет, образуются камни.
Необструктивный

При паразитарных заболеваниях гельминты выделяют сильнейшие токсины, которые раздражают оболочку органа.
По характеру течения холецистит разделяют на острый и хронический.
Острый
Для этой формы характерны симптомы: интоксикация организма, лихорадка, желтушность кожных покровов. Это состояние является следствием закупорки протоков, желчь не поступает в 12-перстную кишку.
При этой форме холецистита велик риск разрыва стенок органа и развитие перитонита. Без операции в этом случае не обойтись.
Хронический

Можно наблюдать вялость питомца после кормления, затрудненное переваривание пищи, рвоту и диарею. При неизменном рационе животное теряет вес. При проявлении таких симптомов собаку необходимо показать ветеринару.
Чем кормить собаку во время болезни?
Во время лечения врач может посоветовать устроить животному двенадцатичасовое лечебное голодание. Это позволит организму немного отдохнуть. Дальнейшее питание должно содержать мало жира и много каротина.
Очень полезно давать собаке тыкву или морковь. Также отлично подойдут такие продукты:
- телятина, постная говядина, птица;
- нежирные кисломолочные продукты с минимальным содержанием сахара;
- обезжиренный творог;
- яйца;
- рисовая или гречневая крупа;
- продукты, богатые витамином А.
Хозяевам необходимо следить, чтобы питание было дробным: не менее пяти раз в день. Кушать собака должна понемногу, маленькими порциями. На время лечения лучше всего полностью отказаться от сухого корма, тем более, когда его качество оставляет желать лучшего.

При холецистите корм для собак должен быть самого лучшего качества. Желательно, чтобы это было лечебное питание, специально разработанное для собак с проблемами пищеварения.
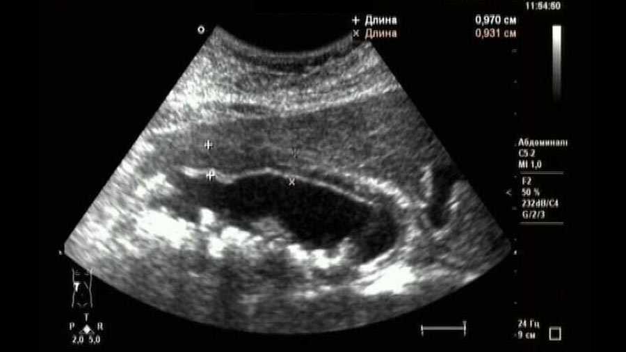
Ультразвуковое исследование
Перед проведением УЗИ необходимо удалить шерстный покров с живота – от мечевидного отростка до пупка по 2-3 см с каждой стороны от белой линии. Исследование лучше проводить после 12 часовой голодной диеты, так как пищевые массы и газы будут затруднять изучение. Собаку фиксируют в спинном положении, для этого нужен специальный стол, либо подкладывают скрученные в валик полотенца под бока животного, чтобы ему было удобнее лежатьВ нормальном состоянии желчный пузырь имеет тонкие стенки, которые четко выделяются на фоне содержимого. Но при застое желчи эхогенность субстрата повышается, что ухудшает диагностику – становится трудно отличить от окружающих тканей. Часто наблюдают неоднородный характер желчи в пузыре – гипоэхогенная среда с взвесью различного характера (пылевая, хлопьевидная).
Также обнаруживают изменения в других органах. Часто бывает увеличенным желчный проток – из-за воспалительной реакции стенки утолщены и расширены. В кишечнике находят скопление газов (сильный метеоризм наблюдается в 12-перстной кишке).
Холецистит. Почему болеют собаки
Желчный пузырь — это внутренний орган, который является своеобразным резервуаром для желчи. Концентрация этого секрета клеток печени увеличена в 10 раз в сравнении с теми же характеристиками желчи при выработке печенью. Здоровые собаки вырабатывают ориентировочно 1 мл желчи на 1 кг своего веса. Больше половины жидкости поступает через желчные протоки в 12-перстную кишку, где оказывает влияние на процесс переваривания пищи. Остальной объем хранится в желчном пузыре, постепенно концентрируясь до нужной плотности.
Любое нарушение стенок желчного пузыря, повлекшее за собой воспалительный процесс, называется холециститом. У собак это заболевание встречается реже, чем у кошек, но в последние годы ветеринары отмечают увеличение процента острого холецистита и у них. Основные причины возникновения холецистита:
- Инфекция, чаще заболевают непривитые животные, получающие воспаление как осложнение после чумы, энтерита или другой болезни бактериальной этиологии.
- Неправильное кормление, к примеру, некачественным дешевым сухим кормом, приводит к камням в печени и желчном пузыре, вызывая острый холецистит.
- Глистная инвазия, возникающая, в основном при кормлении сырым мясом (лямбли, двуустка печеночная и т.д.), глисты обживаются в печени, вызывая застой желчи и сильную интоксикацию организма.
- Наследственность, хроническая форма болезни может передаваться генетически.
- Аномалии развития желчного пузыря, могут быть внутриутробные или после перенесенных травм.
Неправильное лечение или его полное отсутствие приводят к разрыву желчного пузыря, проникновению секрета в брюшную полость, развитию перитонита и гибели животного.

Лечение отита
Если у Вас отит, лечение может назначить только врач-отоларинголог. Лечение отита зависит от стадии заболевания и состояния больного.
При остром евстахиите лечение отита направлено на восстановление функций слуховой трубы. Проводится санация околоносовых пазух, носа и носоглотки с целью устранения инфекции – ринита, синуита или др.).
Назначаются сосудосуживающие капли в нос (отривин, називин и т.д.), при обильном слизистом отделяемом из носа – препараты с вяжущим эффектом (колларгол, протаргол). Проводится катетеризация слуховой трубы с помощью водных растворов кортикостероидов, пневмомассаж барабанных перепонок.
В стадии острого катарального среднего отита катетеризация слуховой трубы проводится с введением в полость среднего уха водных растворов кортикостероидов и антибиотиков (пенициллины, цефалоспорины). Назначается местное обезболивание (капли отипакс, анауран, отинум). Проводится внутриушной эндауральный микрокомпресс по Цытовичу: в наружный слуховой проход вводят ватную или марлевую турунду, пропитанную препаратом с обезболивающим и дегидратирующим эффектом. Также назначают обезболивающие с жаропонижающим эффектом (нурофен, солпадеин и др). При отсутствии эффекта от симптоматической терапии в течение 48-72 часов назначается антибактериальная терапия.
Гнойный отит в до перфоративной острой стадии требует проведения такого же комплекса процедур, как и во второй стадии, однако дополненного следующими мерами:
- назначение антибиотиков пенициллинового ряда (амоксициллин и др.), цефалоспоринов или макролидов;
- парацентез (разрез барабанной перепонки) при появлении выбухания барабанной перепонки.
Важно не допустить на этой стадии осложнения заболевания. После самопроизвольного вскрытия барабанной перепонки или проведения парацентеза заболевание переходит в следующую стадию. Постперфоративная стадия острого гнойного среднего отита предполагает следующую схему лечения:
Постперфоративная стадия острого гнойного среднего отита предполагает следующую схему лечения:
- продолжается начатая антибактериальная терапия;
- проводится катетеризации слуховой трубы с введением кортикостероидов и антибиотиков;
- ежедневно проводится тщательный туалет наружного слухового прохода – очистка его от гнойного содержимого;
- назначается транстимпанальное вливание капель с антибактериальным и противоотечным эффектом (капли на спиртовой основе (отипакс, 3% раствор борной кислоты) в данном случае не применяются).
В стадии рубцевания ОСО происходит самопроизвольное восстановление целостности перепонки, а также полностью восстанавливаются все функции уха. Однако этот период требует обязательного наблюдения у врача-отоларинголога: существует опасность хронизации воспаления в среднем ухе, перехода его в гнойную форму или развития адгезивного рубцового процесса в барабанной полости. Возможно также развитие мастоидита.
1
Аудиометрия в МедикСити
2
Аудиометрия в МедикСити
3
Аудиометрия в МедикСити
При остром среднем отите очень важно своевременное обращение к врачу-оториноларингологу. Единственной мерой профилактики осложнений являются правильные и своевременные диагностические и лечебные мероприятия при отите. Иногда последствиями острого среднего отита становятся спаечный процесс в барабанной полости (адгезивный средний отит), сухая перфорация в барабанной перепонке (сухой перфоративный средний отит), гнойная перфорация (хронический гнойный средний отит) и др
Кроме того, ОСО может привести к таким осложнениям, как мастоидит, лабиринтит, петрозит, менингит, сепсис, тромбоз венозного синуса, абсцесс мозга и другим угрожающим жизни пациента заболеваниям
Иногда последствиями острого среднего отита становятся спаечный процесс в барабанной полости (адгезивный средний отит), сухая перфорация в барабанной перепонке (сухой перфоративный средний отит), гнойная перфорация (хронический гнойный средний отит) и др. Кроме того, ОСО может привести к таким осложнениям, как мастоидит, лабиринтит, петрозит, менингит, сепсис, тромбоз венозного синуса, абсцесс мозга и другим угрожающим жизни пациента заболеваниям.
Online-консультации врачей
| Консультация онколога-маммолога |
| Консультация педиатра-аллерголога |
| Консультация репродуктолога (диагностика и лечение бесплодия) |
| Консультация семейного доктора |
| Консультация ортопеда-травматолога |
| Консультация детского психолога |
| Консультация маммолога |
| Консультация детского невролога |
| Консультация кардиолога |
| Консультация трихолога (лечение волос и кожи головы) |
| Консультация пластического хирурга |
| Консультация специалиста по лечению за рубежом |
| Консультация эндоскописта |
| Консультация проктолога |
| Консультация эндокринолога |
Новости медицины
Футбольные фанаты находятся в смертельной опасности, 31.01.2020
“Умная перчатка” возвращает силу хвата жертвам травм и инсультов, 28.01.2020
Назван легкий способ укрепить здоровье, 20.01.2020
Топ-5 салонов массажа в Киеве по версии Покупон, 15.01.2020
Новости здравоохранения
Глава ВОЗ объявил пандемию COVID-19, 12.03.2020
Коронавирус атаковал уже более 100 стран, заразились почти 120 000 человек, 11.03.2020
Коронавирус атаковал 79 стран, число жертв приближается к 3200 человек, 04.03.2020
Новый коронавирус атаковал 48 стран мира, число жертв растет, 27.02.2020
Клиническая картина
А вот с этим могут возникнуть сложности… Дело в том, что при легком течении заболевания клиническая картина долгое время не проявляется вообще. Даже в тяжелых случаях симптомы возникают лишь в тот период, когда пора бросать все и срочно везти пса к ветеринарному хирургу.Но все же внимательный хозяин может заметить что-то неладное, если регулярно наблюдает за своим питомцем:
-
Пес становится несколько
апатичным
, меньше интересуется даже любимыми лакомствами. -
Ухудшается состояние шерстного покрова
животного. Шерсть грубеет, становится ломкой. - Аналогичные процессы происходят с кожей собаки. Она «засыхает», исчезает упругость. На коже уже в первые недели могут появляться очаги пожелтения.
- Тревожный симптом – рвота и болезненность живота при прощупывании.
Когда появляются такие признаки, пора навестить ветеринара.

Хуже всего, когда камни образуются из карбоната кальция: они острые, с неровными гранями.
Когда собака ест, ее желчный пузырь сокращается для выброса желчи. В это время камни впиваются в нежную слизистую оболочку органа, что приводит к тяжелым последствиям. Но самое неприятное – питомец при этом испытывает такую сильную боль, что катается по полу и воет.
Таким образом, на последних стадиях не заметить наличия проблемы довольно сложно.



























